医療法人授幸会 久永婦人科クリニック
 
           
phone
 
           

排卵を確認する検査

Home不妊検査>排卵を確認する検査

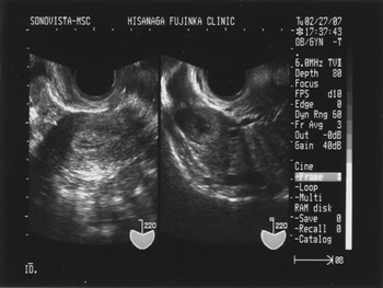
経膣超音波検査(排卵後)・・・排卵により卵巣内の卵胞は黄体に、また子宮内膜は増殖期内膜から分泌期内膜へと変化します。画像でその変化を確認します。まれですが黄体化非破裂卵胞(LUF)といって基礎体温上は高温期になっていても排卵がおこっていないことがあり、排卵がおこったことを確認するためには超音波検査が必要です。
排卵の前後で卵胞は黄体へ、また子宮内膜は増殖期(木の葉状)内膜から分泌期(白く肥厚)内膜へと変化します。

 

●排卵前●

排卵前Photo

 

●排卵後●

排卵後Photo01

排卵後Photo02

排卵後Photo03

排卵後Photo04

排卵後Photo05

このページのTopへ
Copyright (c) Hisanaga Ladies Clinic All rights reserved.